Todas las temáticas
ALIF en el tratamiento de la espondilolistesis
Autores
Platas Gabriel, Laura
Blanco-Traba Villar, Inés
Vizcaíno López, María de los Llanos
Palacios Duch, Isabel
Centros de trabajo
Hospital Universitario del Henares, Coslada (Madrid). España
Paciente mujer de 47 años sin antecedentes personales de interés con lumbalgia baja de años de evolución.
Apofisalgias lumbares bajas, calambre intermitente en miembro inferior izquierdo a nivel de muslo. No alteraciones sensitivas ni motoras. ROT presentes y simétricos bilaterales.
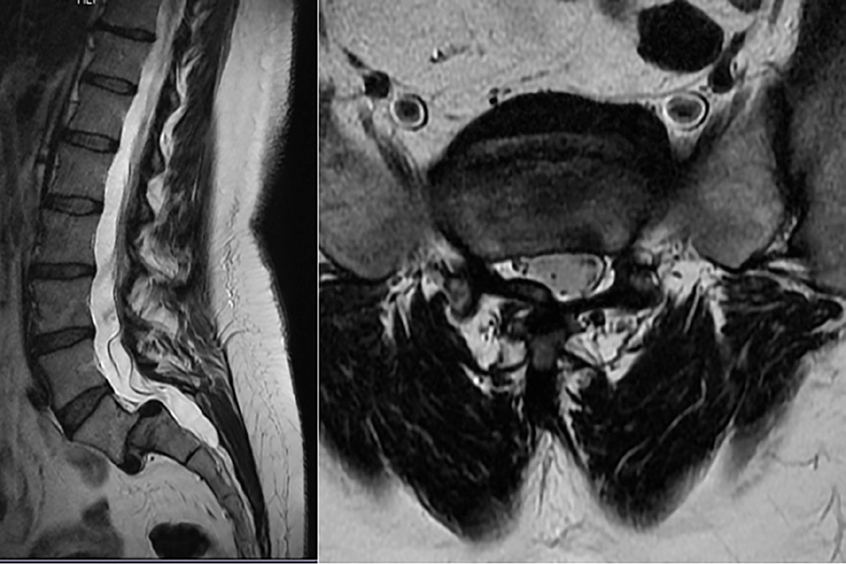
- RMN de columna lumbar: espondilolisis bilateral L5 con espondilolistesis grado II sobre S1. La listesis condiciona discreta estenosis de canal a nivel sacro.
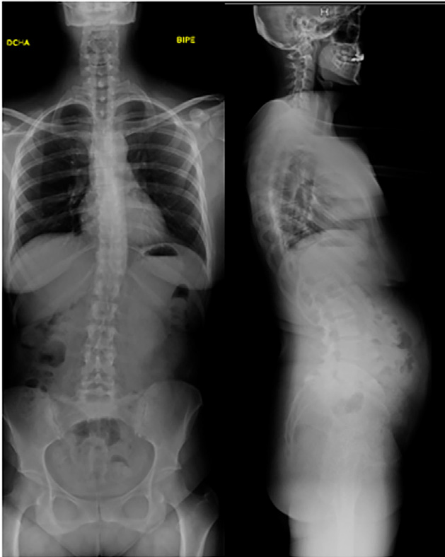
- Radiografías simples columna lumbosacra: espondilolistesis L5-S1 grado II-III.
Espondilolistesis L5-S1 grado II-III.
Bajo anestesia general, se realizó en un primer tiempo por vía anterior: discectomía y artrodesis ALIF mediante caja intersomática fijada solo a L5 para permitir el deslizamiento. En un segundo tiempo por vía posterior: fijación L4-S1 con tornillos pediculares y barras, previa reducción bajo control de escopia.
En el postoperatorio inmediato, la paciente es trasladada a UCI por anemización significativa y necesidad de soporte vasoactivo. Dada de alta de UCI al 3er día con buena evolución durante el resto del ingreso. No clínica radicular ni dolor lumbar y buena movilidad de MMII. Herida quirúrgica sin signos de infección. Alta a domicilio al 7º día postquirúrgico
La espondilolistesis se define como el desplazamiento de una vértebra en relación con su adyacente. El tratamiento quirúrgico de esta patología ha generado mucha controversia a lo largo de los años. La vía de abordaje anterior está aumentando su valor en este tratamiento ya que permite una mejor liberación y un aumento en la reducción. Las complicaciones que podemos encontrar en este abordaje son principalmente lesiones vasculares y la alteración de la función sexual al dañar el plexo nervioso presacro.
- Farber SH, Dugan RK, White MD, Walker CT, O´Neil LK, Alan N, Zhou JJ, Turner JD, Tumialán LM, Uribe JS. A comparison of modern-era anterior lumbar interbody fusion and minimally invasive transforaminal lumbar interbody fusion at the lumbosacral junction. J Neurosurg Spine. 2023. 39(6): 785-792.
- Tye EY, Tanenbaum JE, Alonso AS, Xiao R, Steinmetz MP, Mroz TE, Savage JW. Circunferencial fusion: a comparative analysis between anterior lumbar interbody fusion with posterior pedicle screw fixation and transforaminal lumbar interbody fusion for L5-S1 isthmic spondylolisthesis. Spine J. 2018. 18(3): 464-471.
- Ligthsey HM, Pisano AJ, Striano BM, Crawford AM, Xiong GX, Hershman S, Schoenfeld AJ, Simpson AK. ALIF vs TLIF for L5-S1 isthmic spondylolisthesis: ALIF demonstrates superior segmental and regional radiographic outcomes and clinical improvements. Spine. 2022. 47(11): 808-816.
- Chan AK, Sharma V, Robinson LC, Mummaneni PV. Summary of guidelines for the treatment of lumbar spondylolisthesis. Neurosurg Clin N Am. 2019. 30(3): 353-364.





