Todas las temáticas
Discopatía degenerativa C5: corpectomía con artrodesis cervical anterior con uso combinado de malla, caja intersomática y placa para estabilización
Autores
Fernández Marín, Reyes¹
Soler Moya, Raúl²
Puerta Olivares, Ana²
Sánchez Mateos, Jorge²
Centros de trabajo
¹Hospital Universitario Virgen del Rocío, Sevilla. España ²Hospital Universitario La Paz, Madrid. España
Mujer de 50 años que presenta cervicalgia atraumática con irradiación a MSD de años de evolución sin mejoría con tratamiento conservador. Acompañada de sensación de inestabilidad.
Columna cervical: dolor cervical con limitación para flexoextensión y rotaciones. Fuerza 5/5 en ambos MMSS. Parestesias en territorio C7 y C8. Spurling positivo MSI. L’hermite negativo. Hoffmann negativo. MMII sin alteraciones.
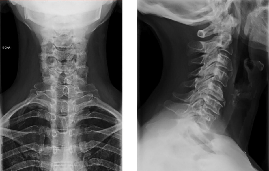
- Rx: rectificación de lordosis cervical. Cambios degenerativos en segmento C5-C6 con disminución de espacio en dicho nivel.
- RMN: discopatía cervical grave C4-C7, especialmente crítica en C5-C6 sin alteraciones de señal medular.
Degeneración cuerpo C5 con discopatía cervical C4-C7 grave.
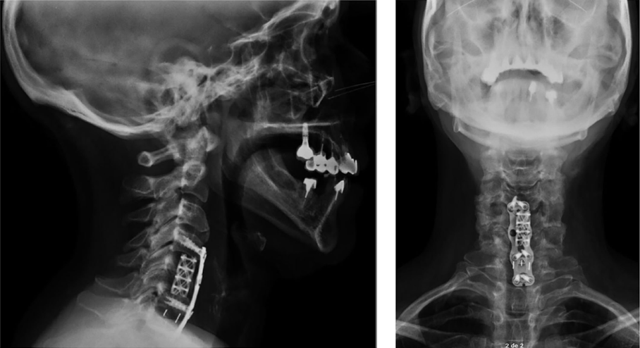
Discectomía y retirada LVCP C6-7, corpectomía subtotal C5 retirando LVCP y duramadre al aire. Reconstrucción con Piramesh y hueso local. Caja cornestone C6-7 con hueso y placa Zevo con tornillos C4-6 y C7.
Ausencia de dolor cervical y parestesias. Hoffmann negativo.
Dentro del contexto de la discopatía degenerativa cervical tenemos como opciones terapéuticas la discectomía y la corpectomía.
La discectomía seguida de fusión conserva mejor la lordosis cervical y la altura entre segmentos. Biomecánicamente, genera una mayor estabilidad en flexo-extensión y mejor movilidad en comparación con la corpectomía, asociándose a una menor tasa de complicaciones (1, 2).
La corpectomía (3) se reserva para descompresiones más amplias, inestabilidades o cifosis cervical que requieran estabilización posterior (6). Se asocia a mayor tasa de complicaciones, con mayor sangrado y mayor estancia hospitalaria. En este caso se decidió corpectomía para restaurar la lordosis cervical corrigiendo el ápex de la deformidad sagital al mismo tiempo que se descomprimía el canal en el segmento donde se estenosaba por los osteofitos posteriores (C5).
En esta última, al conseguir el reestablecimiento de la lordosis cervical se optimiza la biomecánica cervical reduciendo el estrés en la médula y raíces (7), así como se previene el desarrollo de una degeneración del disco adyacente.
- Theologis AA, Lansdown D, McClellan RT, Chou D, Pekmezci M. “Multilevel Corpectomy With Anterior Column Reconstruction and Plating for Subaxial Cervical Osteomyelitis.” Spine. 2016; 41(18): E1088-E1095. doi: 10.1097/BRS.0000000000001557.
- Shamji MF, Massicotte EM, Traynelis VC, Norvell DC, Hermsmeyer JT, Fehlings MG.comparison of anterior surgical options for the treatment of multilevel cervical spondylotic myelopathy: a systematic review. Spine (Phila Pa 1976). 2013 Oct 15; 38(22 Suppl 1): S195-209. doi: 10.1097/BRS.0b013e3182a7eb27.PMID: 23962998.
- Zhou J, Li X, Zhou X, Lin H, Dong J. “Anterior Decompression and Hybrid Reconstruction With Titanium Mesh Cage Plus Plate and Self-Locking Stand-Alone Cage for the Treatment of Three-Level Cervical Spondylotic Myelopathy. ” Journal of Clinical Neuroscience. 2017; 43: 196-201. doi: 10.1016/j.jocn. 2017.04.022.
- Badhiwala JH, Leung SN, Ellenbogen Y, et al. A Comparison of the Perioperative Outcomes of Anterior Surgical Techniques for the Treatment of Multilevel Degenerative Cervical Myelopathy. Journal of Neurosurgery.Spine.2020; 33(4): 433-440. doi: 10.3171/2020.4.SPINE191094.
- Wu B, Xiao B, Rong T, Zhang D, Duan S, Liu B. Impact of cervical kyphosis on segmental motion and symptomatic adjacent segment degeneration: a long-term follow-up data of more than 5 years. Eur Spine J. 2024.





